
膝关节骨关节炎是一种退行性疾病,患者膝关节疼痛难忍,关节活动受限,无法正常行走,终末期严重影响患者的生活质量。随着我国人口的老龄化,膝关节骨关节炎的发病率也随之增加。
据报道,85%膝关节退变主要累及单间室。其中又以内侧间室的发病率最高。疾病的初期可通过理疗和药物治疗缓解疼痛,对于终末期单间室膝关节骨关节炎 可以采用单髁置换术、胫骨高位截骨术和全膝关节置换术进行治疗。随着保膝理念在关节外科医生意识上的不断深入,以及膝关节单髁置换术较好的临床疗效,使其得到了迅速发展。
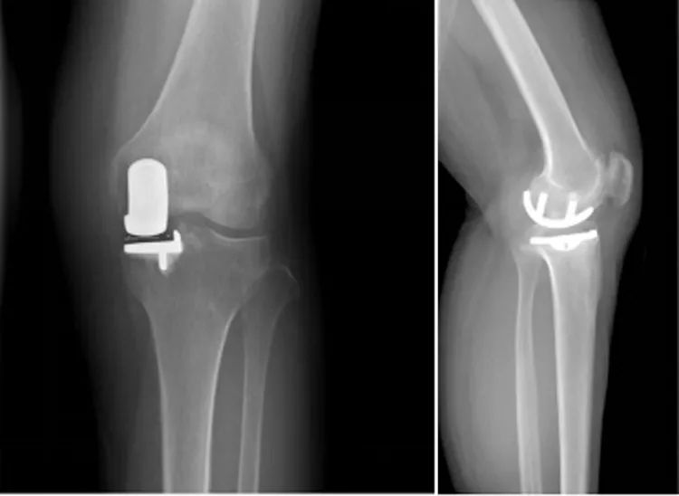
什么是膝关节单髁置换术
膝关节单髁置换术(unicompartmental knee arthroplasty,UKA)是相对人工全膝关节置换术(total knee arthroplasty,TKA)而言的一种新型微创手术,它们同时诞生于20世纪70年代,但早期 UKA 技术不成熟,存在衬垫磨损、假体脱位等并发症,导致假体生存率低,因此与TKA相比其临床应用较少。近年来,随着手术技术的进步、方案的优化以及假体设计的改善,UKA 术后并发症发生率降低、假体生存率提高,手术指征扩大,越来越多用于临床治疗膝关节单间室骨关节炎。
图片来源:北京德尔康尼骨科医院
膝关节单髁置换术五大优势
与人工全膝关节置换术相比,膝关节单髁置换术的优势为:
1、由于UKA在操作上对交叉韧带、半月板等稳定装置破坏较小,因此术后对患者膝关节稳定功能影响不大。
2、只置换病损部位,用以替代膝关节损坏的软骨面,不必置换全关节,最大限度地保留了患者地本体感觉和关节功能,更接近正常的膝关节。
3、植入异物少(包括金属、骨水泥),术后并发症少。
4、手术切口小、创伤小、截骨量少、出血量少、疼痛轻、恢复快,可早期进行功能锻炼。
5、住院时间短,费用减少。
膝关节单髁置换术与胫骨高位截骨有什么不同
胫骨高位截骨术(high tibial osteotomy, HTO),是一种旨在纠正膝关节承重轴、从内侧隔室向外侧移动负荷的外科手术。UKA与HTO均能纠正膝关节内外翻变形,主要区别是 UKA 通过填补关节内的磨损纠正膝关节异常力线,因此矫正的是关节内畸形;而 HTO是通过矫正关节外的畸形纠正膝关节异常力线,矫正的是关节外畸形。相比HTO,UKA需在受损的软骨表面植入假体,因此 UKA 适用于活动量、活动 范围及活动功能相对较少的老年患者;相反,HTO不需植入假体,更适用于骨量较好、相对活跃的年轻患者。
膝关节单髁置换术手术适应症
年龄 >60 岁;
膝关节单间室骨性关节炎或骨坏死 ;
体质量<82Kg;
不从事重体力劳动或活动量较少 ;
膝关节静息痛较轻,主要表现为活动后疼痛;
合并有O形腿或X形腿的表现;
膝关节活动度可轻度的屈曲畸形。
近年来UKA 手术适应症有所扩大,体质量指数、年龄、髌股关节炎、前交叉韧带功能不良已不是手术禁忌。
综上所述,在过去的50年里,经过骨科医生的不懈努力和假体设计的不断改进,扩大了UKA的适应症,临床疗效逐渐得到了认可,使用趋势正在稳步上升。把握好适应症、结合患者术后预期以及所从事的工作,UKA会是单间室骨关节炎的有效治疗手段。
![]()